〒990-2313 山形県山形市松原 303-10
駐車場10台/JR奥羽本線「蔵王駅」より徒歩3分

診療時間
月・火・水曜 9:00〜12:15/13:30~17:45
金曜 9:00〜12:15/14:30~17:45
土曜 8:30~12:15/13:30~17:00
休診日
木・日曜・祝日
※祝日のある週は木曜も診療いたします。

前歯のダイレクトボンディング(即日審美修復)

※保険外診療です

前歯の見た目でお悩みではありませんか?

山形の歯周病なら審美歯科セラミック

「笑った時の前歯の隙間が気になる」「欠けた部分だけを自然に治したい」……。 そのようなお悩みを、歯をほとんど削ることなく、最短1日(即日)で解決するのがダイレクトボンディングです。

当院では、特に「お顔の印象」を左右する前歯の治療において、機能性と見た目の美しさを両立させた精密な修復を行っています。

ダイレクトボンディングとは

山形の歯周病なら審美歯科セラミック

ダイレクトボンディングは、天然歯に近い色調と透明感を持つ「高機能レジン」を、歯科医師が直接お口の中で盛り付けて形を整える治療法です。

型取りをして後日装着する詰め物(ラミネートベニヤ等)とは異なり、その場で歯の形を作り上げていくため、健康な歯を削る量を最小限に抑えられるのが最大の特徴です。

このようなケースにおすすめです

  • すきっ歯(正中離開)の改善: 歯を削らずに隙間を埋めます。

  • 歯の欠け: ぶつけたり、硬いものを噛んで欠けた部分の修復。

  • 歯の形の修正: 矮小歯(生まれつき小さい歯)の形を整える。

永田歯科医院の「前歯」へのこだわり

山形の歯周病なら審美歯科セラミック

前歯は、わずか0.1mmの形の差で表情の印象が変わります。当院では以下のポイントを大切にしています。

 

1. 「多層充填」による自然なグラデーション

歯は単一の色ではありません。根元の方は色が濃く、先端にいくほど透明感が増します。当院では、複数の色調のレジンを精密に重ね合わせる「多層充填」を行い、隣の歯と見分けがつかないほどの自然な仕上がりを追求します。

 

2. 徹底した「研磨」による光沢と耐久性

前歯の美しさを長く保つためには、最終的な「磨き」が重要です。数種類の研磨剤を使い分け、天然歯のような滑らかな光沢を与えます。表面を滑らかに仕上げることで、着色汚れ(ステイン)やプラークの付着を抑え、治療後の美しさを維持します。

 

3. 歯に優しい低侵襲な治療(MI)

当院では「なるべく削らない治療(Minimal Intervention)」を基本としています。ダイレクトボンディングは、虫歯や修正が必要な部分だけを取り除けば良いため、大切なご自身の歯を最大限に残すことができます。

ダイレクトボンディング

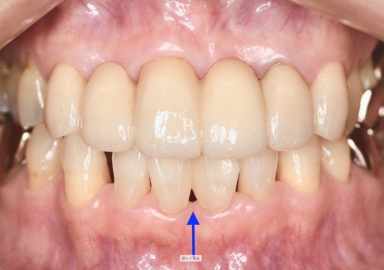
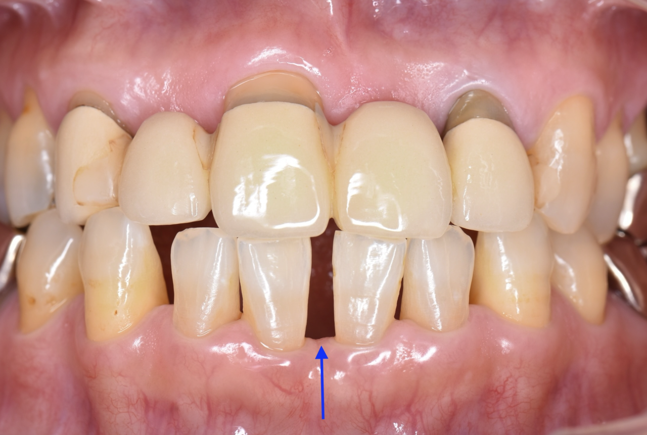
before

40代女性 下の前歯の隙間をダイレクトボンディング
治療期間:1日 治療費6.6万円
デメリット:強い力をかけると割れることがある 
      時間が経つと変色することがある

after

ダイレクトボンディングの治療の流れ

カウンセリング・シュミレーション

お悩みを伺い、仕上がりのイメージを共有します。

色の選定(シェードテイク)

周囲の歯の色を分析し、最適なレジンの色を数種類選び出します。

山形の歯周病なら審美歯科セラミック

歯の研磨・エッチング・ボンディング

歯の表面を研磨し形を整えることで色馴染みをよくします。
また表面を化学的に処理しレジンを接着する下地を作ります。

山形の歯周病なら審美歯科セラミック

形態修正・研磨(重要な工程)

お顔全体のバランス見ながら形を微調整を行います

山形の歯周病なら審美歯科セラミック

メインテナンス

詰め物や被せ物を長持ちさせるために、定期検診や歯のクリーニングを受けることをおすすめします。

料金表

ダイレクトボンディング 30,000円(税別)
   
   

ご不明な点がございましたらお気軽にお問合せください。

治療名:ダイレクトボンディング
治療の説明:歯の表面に高機能レジンを接着し歯の形を整えます。
治療期間・回数:1
治療のリスクや副作用:強い力がかかるとかける場合があります。長期間の使用で変色する場合があります。

検診・歯石取り・歯のクリーニング・フッ素塗布などもご予約いただけます。3ヶ月先のご予約もお気軽にどうぞ。

山形の歯周病なら審美歯科セラミック

〒990-2313
山形県山形市松原 303-10
・駐車場10台
・JR奥羽本線「蔵王駅」より徒歩3分
・山交バス「高松葉山温泉」行き「蔵王駅口」停留所より徒歩3分
・山交バス「高松葉山温泉」行き「成沢南」停留所より徒歩14分
・山交バス「東海大山形高」行き「東海大山形高」停留所より徒歩14分

永田歯科医院では一緒に働いてくださる仲間を募集中です!