〒990-2313 山形県山形市松原 303-10
駐車場10台/JR奥羽本線「蔵王駅」より徒歩3分

診療時間
月・火・水曜 9:00〜12:15/13:30~17:45
金曜 9:00〜12:15/14:30~17:45
土曜 8:30~12:15/13:30~17:00
休診日
木・日曜・祝日
※祝日のある週は木曜も診療いたします。
  • 山形の歯周病なら審美歯科セラミック
  • 山形の歯周病なら審美歯科セラミック

予防歯科に力を入れている歯医者
山形市南山形の永田歯科医院

山形市南山形の永田歯科医院は、虫歯や歯周病を未然に防ぐ予防歯科に力を入れている歯医者です。歯周病治療やセラミックの治療など、あなたの歯を健康に保つための適切な治療もご提供しています。

当院のつの特徴

痛みへの配慮を徹底

歯医者さんの治療が苦手、痛みが嫌、という方のために、痛みに配慮した治療を行っています。

治療中の痛みを軽減するための麻酔ですが、麻酔注射の痛みがつらいという方も。そこで注射の前には歯ぐきに塗るタイプの表面麻酔を塗り、極細の針を使用することでなるべく痛みを感じさせない治療を実践しています。

歯医者さんが苦手という方も、お気軽にご来院ください。

マイクロスコープによる精密な歯科治療

山形の歯周病なら審美歯科セラミック

当院ではマイクロスコープと呼ばれる歯科用の顕微鏡を使い、少しでも歯を長持ちさせるための精密な治療を心がけています。

歯科治療を行う際、肉眼だけの処置には精密さに限界があります。しかしマイクロスコープを使用して治療部位を拡大視することで、より確かな歯科治療を提供することが可能になりました。

マイクロスコープは日本の歯科医院での保有率は3~4%と言われていますが、当院ではより良い治療を患者さまに提供するために、こうした最新医療機器を導入。日々、治療精度の向上に努めています。

スウェーデンの「予防プログラム」を実践

山形の歯周病なら審美歯科セラミック

虫歯や歯周病を防ぐための「予防歯科」に力を入れています。

歯科医療では、虫歯や歯周病にならないお口の環境づくりが最も重要です。そのため、予防歯科先進国であるスウェーデンで直接学んだ、科学的にも効果が実証されている「予防プログラム」を取り入れています。

私たちもできる限りのサポートをいたします。一緒に協力して、大切なお口の健康を守りましょう。

歯を長持ちさせるための「詰め物・被せ物」

山形の歯周病なら審美歯科セラミック

歯を長持ちさせるという観点から、当院の詰め物や被せ物の治療では、健康保険が使える金属やプラスチックではなく、セラミックを使うことをお勧めしています。

保険治療で使用される金属やプラスチックは、時間が経つとお口の中の温度変化で歪みが出やすいもの。歪んだことで歯と詰め物の間に隙間ができ、その隙間に汚れがたまると虫歯の再発につながりやすいという欠点があるのです。

一方、セラミックは時間がたっても劣化や歪みが生じにくく、また表面は滑らかで汚れが付きにくいため、虫歯の再発リスクが低いのが特徴です。

セラミックの治療は、見た目を重視した審美歯科のイメージが強いと思いますが、実は見た目の美しさもさることながら、虫歯の再発リスクを低減してご自身の歯を長持ちさせやすい治療でもあります。

業から70年、地域に根差した歯科医院

山形の歯周病なら審美歯科セラミック

永田歯科医院は開業して70年(※)、これまで多くの患者さまのお口の治療とケアに取り組んできました。また、幼稚園医や学校医といった役割をお任せいただくことで、地域の皆さまとの結びつきも強めて参りました。

歯医者に来ると緊張してしまう患者さまも多いため、家庭的な雰囲気のアットホームな歯科医院を目指し、患者さまが気軽に来院しやすい環境づくりに努めています。

特に大切にしているのは、患者さまとのコミュニケーションです。患者さまの立場に立ってお話を伺い、親身な対応を心がけています。そのため患者さまからも「いつも同じスタッフなので安心」「気軽に来れる」とお声をいただいております。

初めてご来院される方も、歯やお口のお悩みやお困りごとなど、ぜひ遠慮なくご相談ください。

※2019年現在

院長からのごあいさつ

数ある歯科医院の中から、当院のホームページをご覧いただきありがとうございます。

永田歯科医院では、すべての治療において患者さまご自身の歯を長持ちさせることを最終目的とし、予防歯科に力を入れております。予防歯科先進国であるスウェーデンのイェテボリ大学で直接学んだ「予防プログラム」も実践しています。虫歯やその予防のほか、歯周病治療、セラミック等の詰め物・被せ物などの治療もお任せください。

できるだけ歯を残したい、虫歯にしたくないというのは、患者さまと私たち共通の願いと考え、お口の中に不安がある方もそうでない方も、生涯健康なお口で過ごすための方法をご提案させていただきます。

開業から70年(※)、地域に根差した歯医者さんとして、ご来院された患者さまに笑顔でお帰りいただけるようコミュニケーションも大切にしております。

歯科治療に関してお悩みがありましたら、なんでもお気軽にご相談ください。

※2019年現在

山形の歯周病なら審美歯科セラミック
山形の歯周病なら審美歯科セラミック

副院長 永田 智大(ながた ともひろ)

年間160症例以上の副院長による
「メタルフリー治療」

山形の歯周病なら審美歯科セラミック

歯科治療で歯を削った際にその部分を補う素材として、金属の詰め物や被せ物、いわゆる「銀歯」が用いられることが少なくありません。しかし銀歯は見た目が良くないため、お口を開けた時に目立ちやすいのが事実です。

それだけであればご本人次第でがまんもできますが、問題は見た目だけではありません。銀歯に含まれる金属イオンがお口の中で徐々に溶け出し、金属アレルギーの症状が現れるケースも多いのです。

そこで当院では見た目はもちろん、お体のことも考えメタルフリー治療をおすすめしています。当院が扱うのは、金属を一切使用しない「ジルコニア」です。ご自身の歯に似せて製作しますので、詰め物・被せ物であると気づかれる心配はほとんどないと言えます。

またジルコニアは、人工のダイヤモンドにも使われるほど高い強度を持っています。そのため従来のセラミックよりも、割れたり欠けたりするなどのトラブルが大変少ないのも特徴です。

当院ではジルコニアを使ったメタルフリー治療を、年間160症例以上(※)行っています。経験豊富な副院長が治療を担当しますので、ご自身の歯となじんだ自然で美しい口元を目指せます。銀歯を白くしたいと思われている方も大歓迎です。

「口元を美しくしたい」「アレルギーを予防したい」「笑顔に自信を持ちたい」といったご希望をお持ちの方は、ぜひ当院にご相談ください。

 ※2024年現在

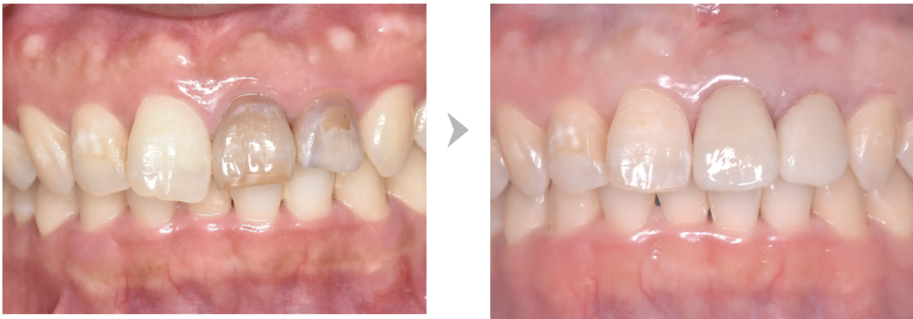
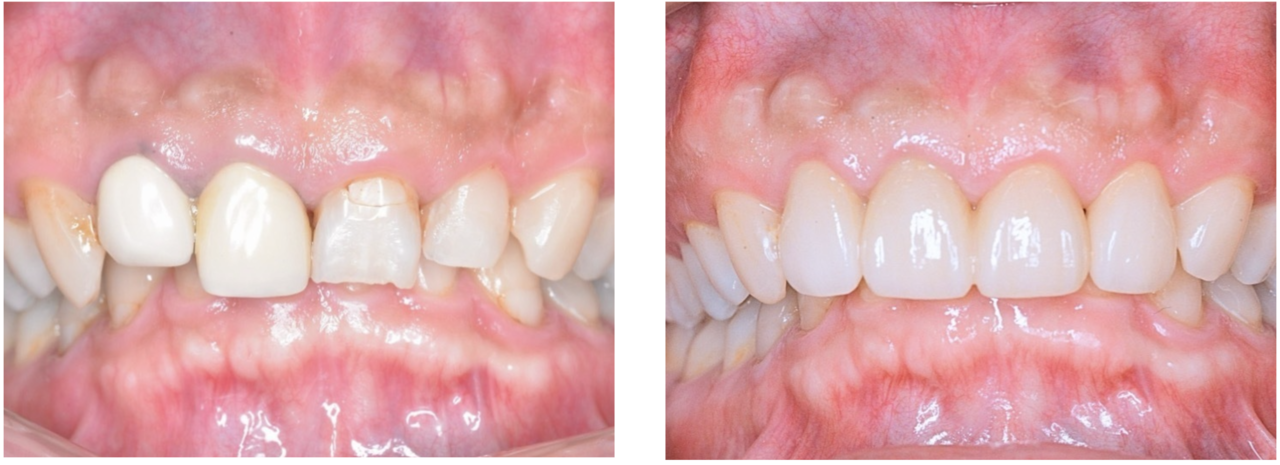
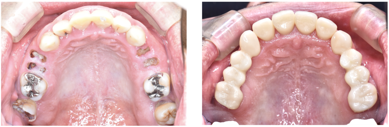
審美歯科セラミック治療事例のご紹介

神経が死んで変色した前歯をセラミック(ジルコニアクラウン)で治療

お口を開けた時に目立つ銀歯をセラミック(ジルコニアインレー)で治療

全体的に崩壊した歯をセラミック(ジルコニアクラウン)で治療

前歯の形や色ををセラミック(ジルコニアクラウン)で治療

安全に配慮したインプラント治療をご提供

山形の歯周病なら審美歯科セラミック

世界中のさまざまなメーカーがインプラントの製造・販売をしていますが、製品によって価格や品質にバラつきがあるのが現状です。

そこで当院は、70か国以上で導入されている「ストローマンインプラントシステム」を採用。患者さまのお体(骨の中)に埋め込む以上、インプラント本体の品質にこだわるべきだと考え、臨床実績豊富なメーカーの製品を使用しています。

さらに、シミュレーション結果をもとに、一人ひとりの患者さまのお口に合わせて「ガイド」を作製しています。手術の際はこのガイドに沿ってインプラントを埋め込むので、手術中の重大な事故を防ぎ、より安全な治療が行えます。

インプラント治療事例のご紹介

療のご案内

痛みの少ない虫歯治療のため、麻酔注射の前には歯ぐきに塗るタイプの表面麻酔を塗り、極細の針を使用することで痛みを軽減しています。

マイクロスコープなどの最新医療機器を導入した治療を提供しています。予防も大切にし、セルフケアのサポートも行います。

当院では、予防歯科先進国であるスウェーデンで直接学んだ、科学的にも効果が実証されている「予防プログラム」を取り入れています。

金属やプラスチックよりも、虫歯の再発を防ぐ効果が高く、ご自身の歯を長持ちさせられるセラミック治療をお勧めしています。

経験豊富な歯科医師が総合的な観点から、長持ちするインプラント治療をご提供。ご安心いただくための保証も充実しています。

検診・歯石取り・歯のクリーニング・フッ素塗布などもご予約いただけます。3ヶ月先のご予約もお気軽にどうぞ。

山形の歯周病なら審美歯科セラミック

〒990-2313
山形県山形市松原 303-10
・駐車場10台
・JR奥羽本線「蔵王駅」より徒歩3分
・山交バス「高松葉山温泉」行き「蔵王駅口」停留所より徒歩3分
・山交バス「高松葉山温泉」行き「成沢南」停留所より徒歩14分
・山交バス「東海大山形高」行き「東海大山形高」停留所より徒歩14分

永田歯科医院では一緒に働いてくださる仲間を募集中です!