〒990-2313 山形県山形市松原 303-10
駐車場10台/JR奥羽本線「蔵王駅」より徒歩3分

診療時間
月・火・水曜 9:00〜12:15/13:30~17:45
金曜 9:00〜12:15/14:30~17:45
土曜 8:30~12:15/13:30~17:00
休診日
木・日曜・祝日
※祝日のある週は木曜も診療いたします。

審美歯科・セラミック治療

※保険外診療です

年間100症例以上を手がける審美歯科

山形の歯周病なら審美歯科セラミック

白い詰め物や被せ物といった審美歯科治療を手がけるのは、年間160症例以上(※)の実績がある経験豊富な副院長です。

これまでの経験から蓄積してきた技術力によって、まるで天然の歯のように美しい詰め物や被せ物を提供いたします。

詰め物や被せ物は、歯科医院が提携する外部の歯科技工所で歯科技工士が製作するのが一般的ですが、当院には歯科技工士スタッフが在籍し、詰め物や被せ物を院内で製作しています。

そのため外部に製作を発注する必要がなく、詰め物や被せ物の製作期間が短くなり、修理にもすぐ対応することが可能です。また技工士が治療に立ち会ってお口の中を直接確認できるため、患者さまのお口の状態により適した詰め物・被せ物をお作りすることができます。

詰め物や被せ物の治療が初めてという患者さまも、どうぞおまかせください。

※2022年現在

セラミック治療へのこだわり

山形の歯周病なら審美歯科セラミック

歯を長持ちさせるためには、被せ物と歯ぐきの間に段差ができないようにすることが重要です。なぜなら、被せ物と歯ぐきに段差があるとそこに汚れがたまりやすく、虫歯や歯周病の原因になってしまうことがあるからです。

そこで当院では圧排糸(あっぱいし)という道具を使い、段差ができないように歯と歯ぐきの境目のラインを精密に型どりします。さらに土台となる歯を削る処置も慎重に行うなど、細部までこだわったセラミック治療を行っています。

また、詰め物・被せ物の製作は通常は歯科技工士が歯科技工所で行います。そのため、技工士が患者さまのお口の中を直接見る機会はほとんどないのが一般的です。しかし当院には歯科技工士が在籍しておりますので、診療に立ち会うことが可能です。直接患者さまのお口の中やお顔を拝見しながら、実際の歯の形や色、患者さまのご希望を反映させて詰め物や被せ物を製作できます。

だからこそ、お顔全体や口元と調和した自然な仕上がりで、なおかつ歯とお口の健康を長持ちさせる精密な詰め物や被せ物を作ることができるのです。

5年間の保証をおつけしています

山形の歯周病なら審美歯科セラミック

当院の白い詰め物や被せ物といった審美歯科治療には、5年の保証期間をつけています。

詰め物や被せ物が万が一割れてしまった・はずれた等のトラブルが発生した場合、期間内であれば無償で修理いたします。(※)

健康保険が使えないため費用が高額になりがちな審美歯科治療は、「高い費用を支払ったのにすぐにダメになったらどうしよう」と悩まれる方も多い治療です。そんな不安を軽減する当院の5年保証は、患者さまにもご好評いただいております。

責任を持った審美歯科治療を提供できる自信があるからこそ、このような保証をつけております。

(※)当院で定期検診に通っている患者さまに限ります。

歯を長持ちさせるためのセラミック

山形の歯周病なら審美歯科セラミック

セラミック治療は歯の見た目を美しくする審美的なイメージが強いものですが、永田歯科医院でセラミックをお勧めしている理由はそれだけではありません。

セラミックは保険治療で使用される金属やプラスチックよりも虫歯の再発を防ぎやすい素材であるため、ご自身の歯を長持ちさせるという目的でも、私たちはセラミック治療をお勧めしています。

虫歯が再発する理由の多くは、歯と詰め物の間の隙間に汚れがたまることです。

保険治療で使用される金属やプラスチックは、時間が経つと温度変化などにより歪みが出やすく、歪みによってできた段差に汚れがたまりやすくなります。その点セラミックは、時間経過による歪みが出にくく、表面が滑らかで汚れも付きにくいため、虫歯の再発リスクを軽減することができるのです。

また、使用する接着剤にも保険治療とは違いがあります。セラミックの治療では、保険治療よりも強力に接着する接着剤を使用できるため詰め物や被せ物が外れにくく、繰り返しの治療を減らすことができるのです。

治療を繰り返した結果、将来的に歯を抜くことになるケースも多くあります。そのようなことにならないよう、当院では「歯を長持ちさせること」を第一に考え、セラミックによる治療をご提案しています。

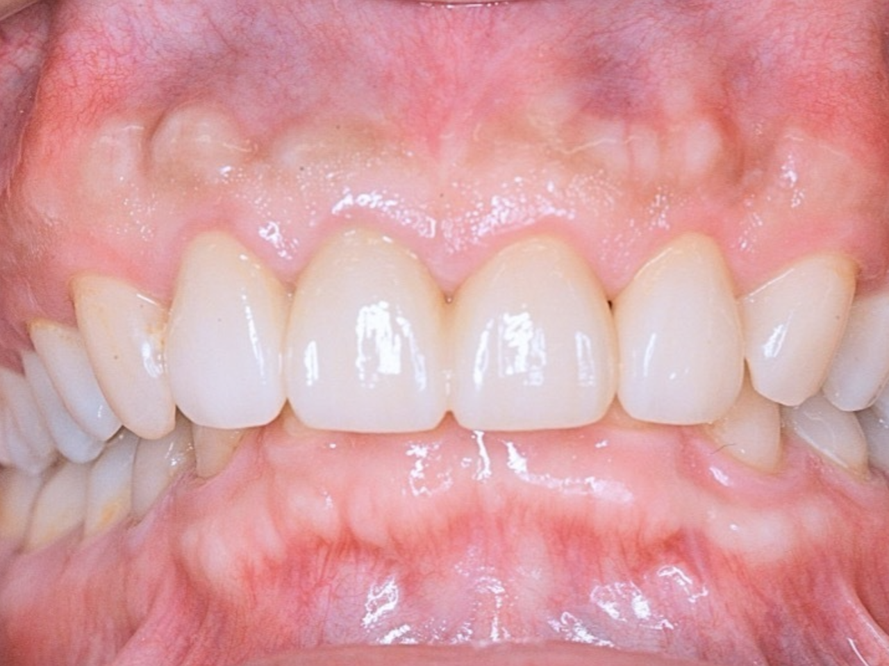
セラミック治療(ジルコニア)

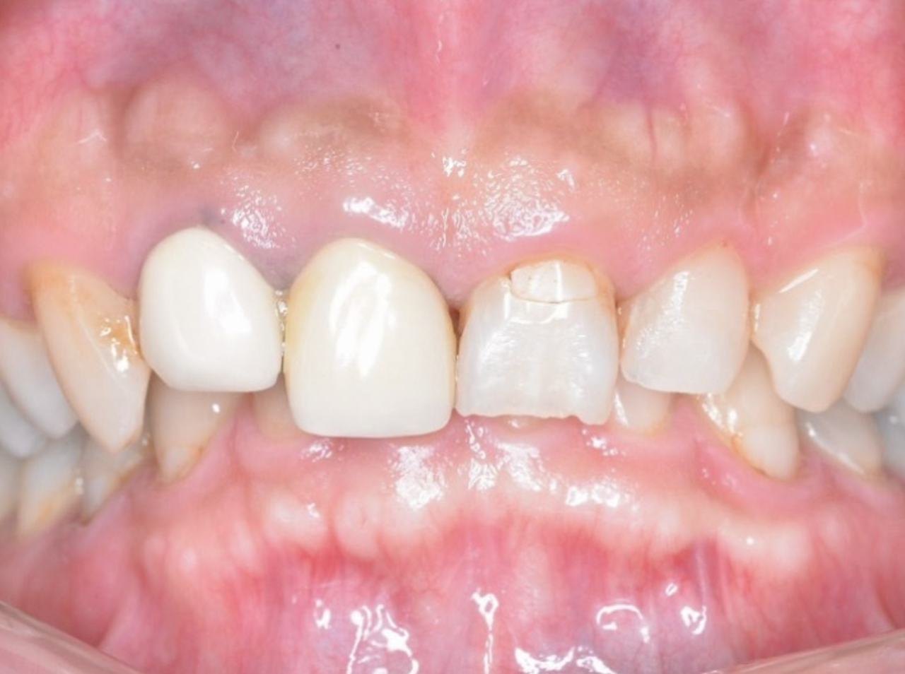
before

40代男性 上の前歯4本をジルコニアクラウンに

治療期間1ヶ月 治療費約30万円

デメリット:歯を削る必要がある

after

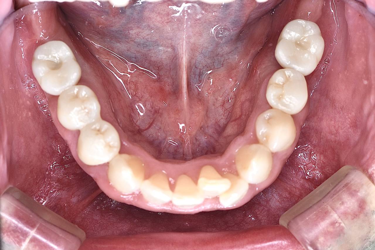
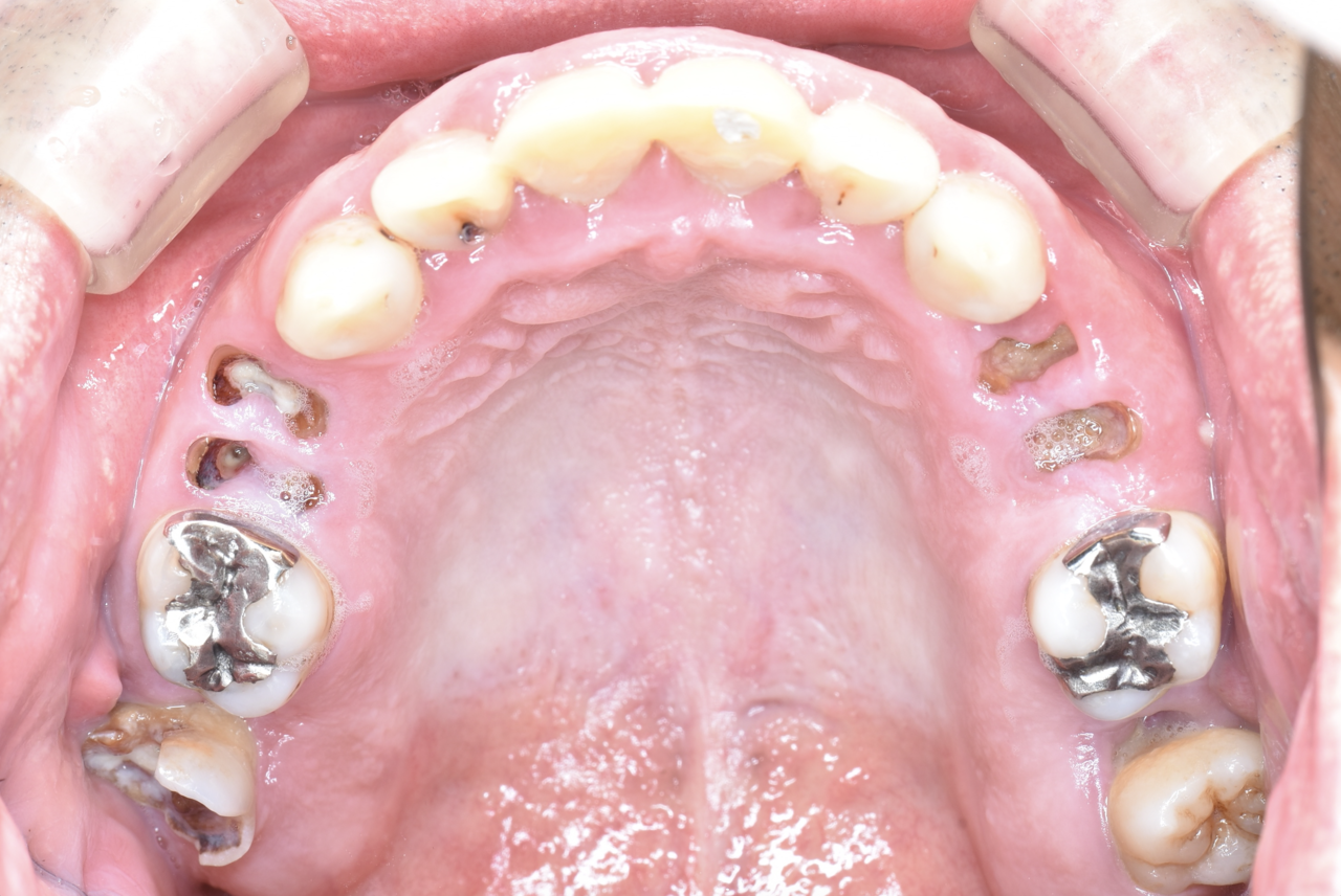
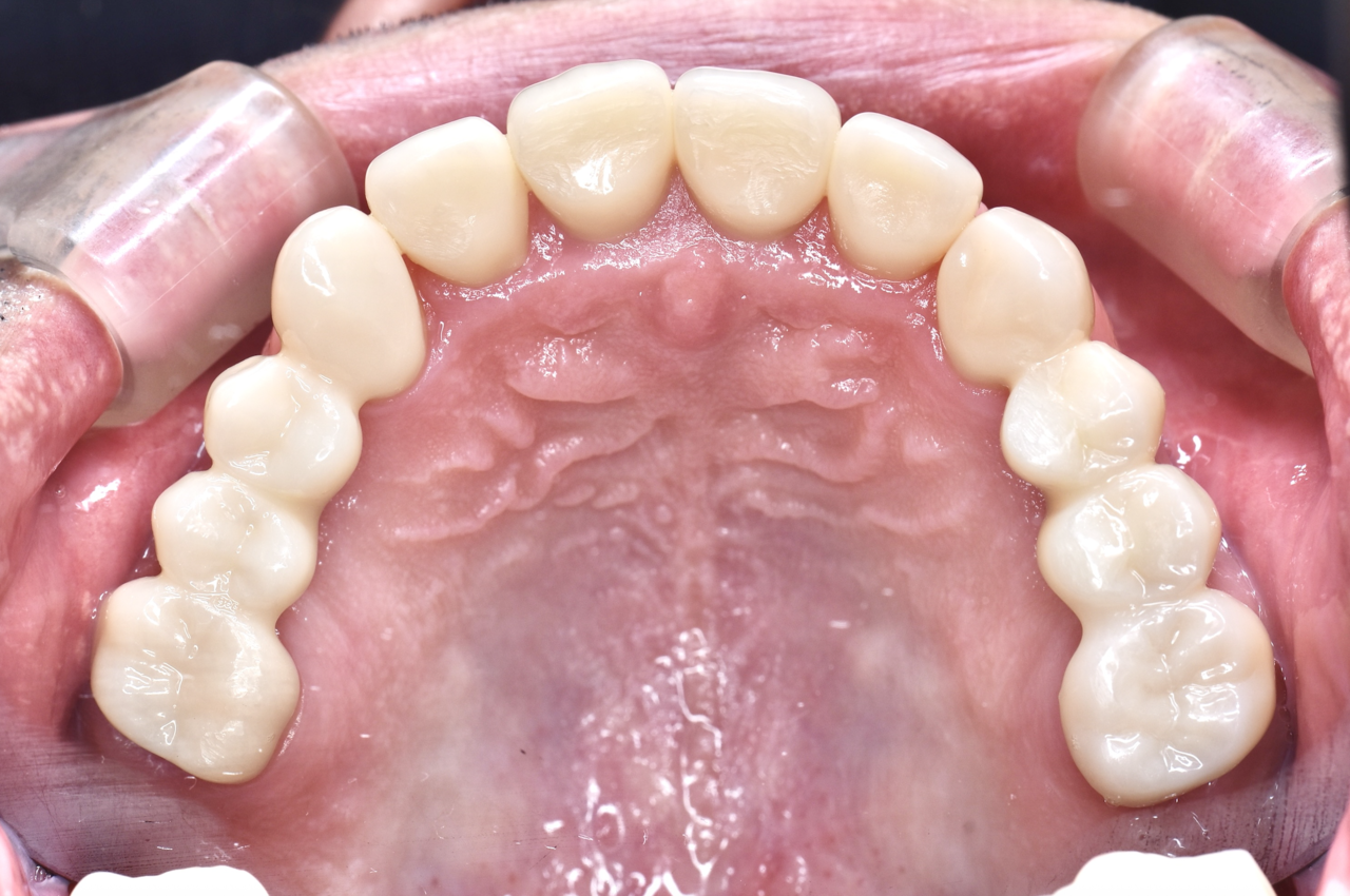
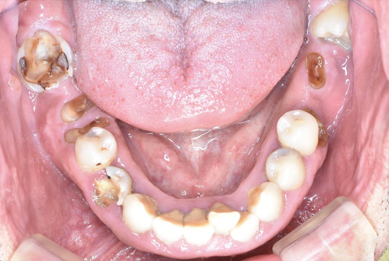
before

40代男性 全体的な噛み合わせの改善 

治療期間2年 治療費約300万円

デメリット:歯を削る必要がある

after

上の前歯はジルコニアクラウン
上の奥歯はジルコニアブリッジ
下の奥歯にインプラントをそれぞれ1本ずつ
上下で合わせて15本分のジルコニア補綴

料金表

ジルコニア(インレー 60,000円(税別)
ジルコニア(アンレー) 60,000税別
ジルコニア(クラウン) 85,000円税別
型取り 5,000円税別
仮歯(必要な方のみ) 10,000円税別

ご不明な点がございましたらお気軽にお問合せください。

治療名:ジルコニア
治療の説明:内冠に金属を使用しないので、透過性があり天然歯と見分けがつかない自然さがあります。また、耐久性や親和性にも優れています。
治療期間・回数:2回
治療のリスクや副作用:強い力をかけると割れる(欠ける)可能性があります。土台となるご自身の歯を削る必要があります(削る量は材質や個人差によります)。歯の状態によっては神経の治療が必要になる場合があります。治療時に出血を伴う可能性があります。

長持ちする詰め物・被せ物の治療の流れ

山形の歯周病なら審美歯科セラミック

検査

検査器具やレントゲンで、歯やあごの骨の状態を調べます。

山形の歯周病なら審美歯科セラミック

治療計画の説明

歯やあごの骨など、お口がどんな状態なのかをご説明し、治療計画をご案内します。

山形の歯周病なら審美歯科セラミック

歯を削ります

詰め物や被せ物の土台になる歯を削ります。

山形の歯周病なら審美歯科セラミック

詰め物や被せ物を装着

詰め物や被せ物を装着します。

山形の歯周病なら審美歯科セラミック

メインテナンス

詰め物や被せ物を長持ちさせるために、定期検診や歯のクリーニングを受けることをおすすめします。

検診・歯石取り・歯のクリーニング・フッ素塗布などもご予約いただけます。3ヶ月先のご予約もお気軽にどうぞ。

山形の歯周病なら審美歯科セラミック

〒990-2313
山形県山形市松原 303-10
・駐車場10台
・JR奥羽本線「蔵王駅」より徒歩3分
・山交バス「高松葉山温泉」行き「蔵王駅口」停留所より徒歩3分
・山交バス「高松葉山温泉」行き「成沢南」停留所より徒歩14分
・山交バス「東海大山形高」行き「東海大山形高」停留所より徒歩14分

永田歯科医院では一緒に働いてくださる仲間を募集中です!